Periodontia Campinas: Saúde e Estética Gengival na Orny Odontologia
CRO-SP Clínica 17904
Sabemos que um sorriso bonito começa com gengivas saudáveis!
Portanto, se você busca Periodontia em Campinas, está no lugar certo. Oferecemos tratamentos completos para a saúde periodontal.
Realizamos procedimentos estéticos avançados como a Gengivoplastia/Plástica Gengival.
Conquiste um sorriso confiante e livre de problemas!
Olá! Preencha os campos abaixo para iniciar a conversa no WhatsApp!
Clínica Especializada em periodontia em Campinas
Periodontia Campinas:
Saúde e Estética Gengival na Orny Odontologia
Um sorriso bonito começa com gengivas saudáveis!
Se você busca Periodontia em Campinas, está no lugar certo. Oferecemos tratamentos completos para a saúde periodontal.
Realizamos procedimentos estéticos avançados como a Gengivoplastia/Plástica Gengival.
Olá! Preencha os campos abaixo para iniciar a conversa no WhatsApp!
Dentistas no Cambuí Campinas
CRO-SP Clínica 17904
Periodontista em Campinas: Recupere a Saúde e a Harmonia das Suas Gengivas
A saúde bucal envolve muito mais do que dentes. Ela inclui as gengivas.
Na Orny Odontologia, nossa periodontista em Campinas é especialista em diagnosticar e tratar doenças gengivais. Assim sendo, ajudamos você a se livrar de problemas como gengivite e periodontite. Nosso foco é restaurar a saúde e a estética do seu sorriso.
O que são Tratamentos Gengivais e Por Que São Importantes?
Uma gengiva saudável não sangra. Isso ocorre durante a escovação dentária, uso do fio dental ou alimentação. Ela deve apresentar coloração rósea e textura firme.
Adicionalmente, a ausência de halitose (mau hálito) é sinal de saúde. A gengivite é a inflamação da gengiva. Ela é causada pelo acúmulo de bactérias. Caso não sejam removidas, inicia-se o processo infeccioso-inflamatório. Consequentemente, o principal sintoma é o inchaço e sangramento.
Felizmente, esse quadro é reversível. O tratamento consiste na remoção profissional da placa bacteriana e prescrição de cuidados específicos.
A periodontite, por sua vez, é mais grave. Ela é caracterizada pelo sangramento gengival, mobilidade dentária e perda de suporte ósseo. Também causa halitose (mau hálito). Entretanto, a periodontite não gera dor. Por isso, o pensamento "só vou ao dentista quando tenho dor" é muito prejudicial.
Essas alterações devem ser tratadas pelo profissional especialista – o periodontista. Ele é capaz de fazer o diagnóstico e tratamento correto.
É importante salientar que a saúde bucal se correlaciona com a saúde geral. Pessoas com periodontite podem perder os dentes. Adicionalmente, correm maior risco de desenvolverem infecções cardíacas, acidente vascular (AVC) e problemas na gestação, como o parto prematuro. Portanto, cuidar das suas gengivas é essencial.
Gengivoplastia e Plástica Gengival em Campinas: Transforme a Harmonia do Seu Sorriso
A Cirurgia Plástica Periodontal oferece harmonia ao sorriso. De fato, a Plástica Gengival em Campinas é uma pequena correção. Entretanto, resulta em uma grande diferença na face e sorriso.
Ela apresenta diversas técnicas cirúrgicas e não-cirúrgicas. Elas minimizam, mascaram e até eliminam o excesso ou a ausência de gengiva. Identificar a causa é fundamental para a escolha do procedimento. Consequentemente, para o sucesso do tratamento.
O que são as Plásticas Gengivais e Quando são Indicadas?
As Plásticas Gengivais são cirurgias. que visam corrigir defeitos gengivais e de tecidos moles. Isso ocorre em regiões que apresentam algum tipo de comprometimento estético ou funcional.
A indicação principal se dá quando o defeito altera a harmonia do sorriso do paciente. Para estar apto a esta cirurgia, o paciente somente deve estar com boa saúde bucal. Não há, assim, contraindicações significativas.
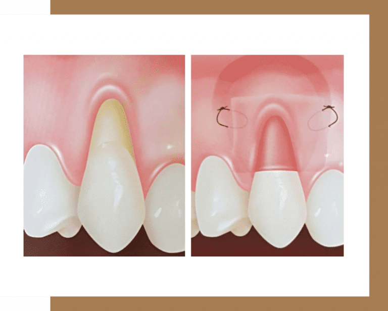
Recessões Gengivais: Recobrimento Radicular com Enxertos Gengivais em Campinas
A retração gengival, ou recessão gengival, é um processo. Nela, a gengiva retrai e expõe a raiz do dente. Muitos pacientes se enganam ao achar que o dente está maior ("dentes compridos"). O que ocorre é a migração da gengiva, e não do dente.
A retração gengival muitas vezes pode provocar sensibilidade nos dentes. Além disso, é claro, de queixas estéticas.
O recobrimento radicular com enxertos gengivais é a solução.
Essa cirurgia de enxerto de tecidos moles (chamada de enxerto gengival) ajuda a recobrir a raiz exposta. A indicação principal é estética. Especialmente, quando o paciente mostra a raiz ao sorrir ou ao falar. A Plástica Gengival de enxerto também pode ser indicada. Isso ocorre em raízes que apresentam muita sensibilidade.
Sorriso Gengival: Correção com Gengivoplastia em Campinas
O sorriso gengival é a exposição exagerada da gengiva ao sorrir. Ele afeta a estética e, por vezes, causa constrangimento. O sorriso gengival causado por excesso de gengiva é corrigido com cirurgia plástica gengival. Ela é chamada de Gengivoplastia em Campinas.
Como é a Gengivoplastia em Campinas?
A Gengivoplastia em Campinas é um procedimento simples. Ele remove o tecido gengival em excesso. Consequentemente, aumenta o tamanho visível dos dentes. É uma técnica simples e rápida. Adicionalmente, não causa desconforto pós-operatório significativo. O paciente volta em seguida às suas atividades normais.
Esta técnica tem ganhado bastante notoriedade. Especialmente quando combinada às reabilitações estéticas dos dentes. Isso ocorre através de lente de contato ou facetas de porcelana. Conferindo assim, uma harmonia dento-gengival na qualidade de uma obra de arte.
Perguntas Frequentes sobre Periodontia e Gengivoplastia em Campinas
A gengiva que sangra sempre é sinal de doença periodontal?
Sim, gengiva que sangra não é normal. De fato, é o principal sinal de gengivite. Isso indica inflamação. Se não tratada, pode evoluir para periodontite. Portanto, procure um periodontista em Campinas na Orny Odontologia para um diagnóstico.
O tratamento de Periodontia dói?
Os tratamentos periodontais são realizados com anestesia local. Assim sendo, são geralmente indolores. No entanto, pode haver um leve desconforto. Isso ocorre após o procedimento. Por isso, seu periodontista irá orientar sobre os cuidados. Isso inclui medicamentos, se necessário.
Quanto tempo dura a recuperação de uma Gengivoplastia em Campinas?
A recuperação da Gengivoplastia em Campinas é rápida. Geralmente, o desconforto é mínimo. Os pacientes podem retornar às suas atividades normais no mesmo dia ou no dia seguinte. A cicatrização completa leva algumas semanas. Entretanto, o resultado estético é visível imediatamente.
A Periodontite tem cura?
A periodontite não tem cura, mas tem controle. É uma doença crônica. No entanto, com o tratamento adequado do periodontista em Campinas. E também com a manutenção regular, a progressão pode ser interrompida. Isso evita a perda dos dentes. Além disso, melhora a saúde geral.
Qual a importância da Cirurgia Plástica Gengival para a estética do sorriso?
A Cirurgia Plástica Gengival é fundamental. Ela corrige imperfeições na gengiva. Isso inclui excesso ou retração. Consequentemente, cria um contorno harmonioso. Ela é essencial para quem busca um sorriso esteticamente perfeito. Com efeito, complementa tratamentos como lentes de contato.
Comece a Transformar o Seu Sorriso com Periodontia e Gengivoplastia em Campinas!
Não adie a saúde e a beleza do seu sorriso!
Portanto, agende sua consulta na Orny Odontologia. Nossa equipe de periodontistas em Campinas está pronta para te atender. Descubra as melhores soluções em Periodontia e Gengivoplastia.
Com efeito, sua transformação começa aqui!
Olá! Preencha os campos abaixo para iniciar a conversa no WhatsApp!
Clínica particular. Não atendemos planos e convênios
O que nossos pacientes dizem sobre a Orny Odontologia
Publicado em Mauricio Santos10/02/2026 Ótimo ooo fico Grato pelo atendimento nota 10 e o ambiente muito bem organizado showPublicado em Leonardo Moura02/12/2025 Ótimo atendimeto, e serviço excelente prestado pela doutora e atendente Patrícia 👏🏻Publicado em Otávio Vasconcelos Vieira14/10/2025 Atendimento excepcional. Todos da equipe são excelentes, atenciosos e muito gentis. O espaço é aconchegante e confortável. O tratamento está indo muito bem. A Tânia é uma profissional muito competente e eficiente. Muito obrigado por tudo! Recomendo muitoPublicado em Simone Altran23/09/2025 Excelentes profissionais e custo x benefício no tratamento. Toda a equipe dedica apoio e cuidado único para cada paciente, a clínica busca o bem estar do indivíduo de forma geral. Com certeza temos o resultado prático do procedimento, mas o diferencial é o acolhimento .Publicado em Leticia Lyria Freire17/09/2025 Fui recebida com muita atenção e cuidado, o que demonstra o profissionalismo e a humanização de toda a equipe. A clínica é impecável em termos de higiene, transmitindo confiança e segurança em cada detalhe. Todos os profissionais são extremamente educados, qualificados e dedicados, o que tornou minha experiência ainda mais agradável. Além disso, as condições financeiras oferecidas foram muito acessíveis, facilitando o acesso a um tratamento de alta qualidade. Um agradecimento especial à Dra. Tânia pelo carinho, competência e atenção durante todo o processo. Recomendo de olhos fechados!Publicado em Daniel Silva11/09/2025 Excelente! Profissionais capacitados e competentes. Destaco ainda a atenção e cuidado com meu pai, que é cadeirante, de todos na clínica. Muito obrigado!Publicado em Lindalva Pavani10/09/2025 Gostaria de falar do atendimento de cada profissional desta clínica Orny. Começando pelo atendimento por telefone foi muito diferenciado começando com a Evelyn, me senti acolhida e senti que ela sorria do outro lado da linha. No dia da consulta fui muito bem atendida na recepção pela Dani, um cuidado minucioso, simpática, sorriso que ilumina, conheci tbm a Evelyn muito simpática, sorriso acolhedor, todos os profissionais que vieram na recepção todos eles nós cumprimentaram com muita simpática acolhedora, a moça que faz a NF Paty tbm muito simpática e acolhedora. Tudo muito bem explicadinho, local limpo, muito, mais muito diferenciado, a Dra. Tânia que atendeu minha filha, uma profissional incrivel, ouvio tudo atentamente, deu todas as explicações claras, todo muito moderno, foi acima do esperado, entrego muito. Algo muito raro, diferenciado, acolhedor, preço acessível, profissionais com atendimento fora do cotidiano. Super recomendo.Publicado em Gilberto Pasian05/09/2025 A dra.Tânia é uma profissional qualificada e atenciosa.Avaliação totalizada Google 5.0 de 5, com base em 283 avaliações
Nossa maior recompensa é, sem dúvida, o seu sorriso!
Como Luciana recuperou a função e o sorriso com implantes na Orny Odontologia
Luciana chegou à clínica sem conseguir mastigar corretamente. Após avaliação e planejamento digital, realizou reabilitação oral completa com implantes. Assista ao depoimento e veja a transformação nos próprios termos dela.
Dra. Tânia Tomic · Especialista em Reabilitação Oral
Como o Sr. José voltou a comer e sorrir com segurança após a reabilitação oral
Após anos lidando com prótese instável, o Sr. José realizou sua reabilitação com implantes na Orny Odontologia. Hoje come sem restrições e sem insegurança. Assista ao depoimento completo.
Dra. Tânia Tomic · Especialista em Reabilitação Oral
Comece a Transformar o Seu Sorriso com Periodontia e Gengivoplastia em Campinas!
Não adie a saúde e a beleza do seu sorriso!
Portanto, agende sua consulta na Orny Odontologia. Nossa equipe de periodontistas em Campinas está pronta para te atender. Descubra as melhores soluções em Periodontia e Gengivoplastia.
Com efeito, sua transformação começa aqui!
Olá! Preencha os campos abaixo para iniciar a conversa no WhatsApp!
Clínica particular. Não atendemos planos e convênios
- Onde estamos localizados
Rua Antônio Cesarino, 149 - Bosque, Campinas - SP
Olá! Preencha os campos abaixo para iniciar a conversa no WhatsApp!
CRO-SP Clínica 17904
Responsável Técnica: Dra. Tânia Maria Ayres Monteiro Tomic
CRO-SP 105.764